Chuyên gia kiên trì thuyết phục bệnh nhân thực hiện sinh thiết, phát hiện ung thư phổi hiếm gặp
Người dân an tâm thăm khám các bệnh lý hô hấp tại Hệ thống Y tế MEDLATEC
Khi chẩn đoán đứng trước nguy cơ bị bỏ lỡ, chuyên gia không chỉ lần tìm dấu vết bệnh lý mà còn kiên trì thuyết phục bệnh nhân vượt qua nỗi sợ để thực hiện sinh thiết - bước ngoặt giúp phát hiện ung thư phổi hiếm gặp.
Ho kéo dài nhiều năm, điều trị nhiều nơi nhưng không dứt điểm
Từ năm 2024, anh N.S.T. (32 tuổi, Thanh Hóa) xuất hiện tình trạng ho, đặc biệt vào buổi đêm. Thời điểm đó, anh tự mua thuốc về nhà điều trị, nhưng không triệt để. Hơn 1 năm sau bệnh nhân bước vào giai đoạn bệnh lý rõ ràng hơn với ho nhiều kèm đờm, khó thở khi gắng sức, thở khò khè.
Bệnh nhân đã từng đi khám và điều trị tại một số cơ sở y tế, chủ yếu theo hướng nhiễm trùng hô hấp, có sử dụng kháng sinh và ghi nhận cải thiện nhất định nhưng không dứt điểm.
Anh T. quyết định tới Bệnh viện Đa khoa MEDLATEC thăm khám với mong muốn được làm rõ tình trạng bệnh và điều trị hiệu quả.
Tại đây, bệnh nhân được PGS.TS.BS Hoàng Thị Phượng - chuyên gia cao cấp Hệ thống Y tế MEDLATEC, Phó Chủ nhiệm Bộ môn Nội, Trường Đại học Y Dược (Đại học QGHN), nguyên Trưởng khoa Lao và Bệnh phổi (Viện Phổi Trung ương) trực tiếp thăm khám và chỉ đạo chẩn đoán.

PGS.TS.BS Hoàng Thị Phượng - Chuyên gia cao cấp của Hệ thống Y tế MEDLATEC
Dấu hiệu bất thường từ nội soi phế quản: nghi ngờ u ác tính đường thở
Qua đánh giá lâm sàng, bệnh nhân được chỉ định thực hiện các thăm dò cận lâm sàng chuyên sâu nhằm làm rõ nguyên nhân.
Kết quả nội soi phế quản ban đầu ghi nhận niêm mạc khí - phế quản sung huyết, xuất hiện tổn thương dạng sùi, tăng sinh mạch, hẹp lòng khí quản đoạn 1/3 dưới và hệ thống phế quản phải.
Đây là hình ảnh có giá trị gợi ý cao đến tổn thương u trong lòng đường thở. Tuy nhiên, tại thời điểm này, do lo ngại nguy cơ chảy máu, bệnh nhân và gia đình chưa đồng ý thực hiện sinh thiết, khiến việc chẩn đoán xác định chưa thể tiến hành.
Các xét nghiệm vi sinh từ dịch rửa phế quản, bao gồm MGIT, cấy vi khuẩn, cấy nấm và Xpert đều cho kết quả âm tính, chưa tìm thấy căn nguyên nhiễm trùng đặc hiệu.
Ở lần nội soi phế quản tiếp theo, tổn thương ghi nhận tiến triển rõ: Khối sùi tại thành phải và thành sau đoạn 1/3 dưới khí quản, chít hẹp hoàn toàn phế quản gốc phải, ống soi không thể đi qua, có dịch mủ thoát ra từ lỗ phế quản gốc phải.
Hệ thống xét nghiệm vi sinh mở rộng phát hiện vi khuẩn Haemophilus influenzae. Bệnh nhân được điều trị kháng sinh tĩnh mạch trong 2 tuần, giúp cải thiện triệu chứng ho khoảng 60-70%. Tuy nhiên, khó thở khi gắng sức vẫn tồn tại, cho thấy tình trạng tắc nghẽn cơ học chưa được giải quyết.
Nhạy bén trong chẩn đoán: chuyên gia kiên trì thuyết phục bệnh nhân thực hiện sinh thiết, làm rõ ung thư hiếm
Trước diễn biến bệnh lý không cải thiện và hình ảnh tổn thương ngày càng rõ ràng, bệnh nhân tiếp tục được chỉ định nội soi phế quản. Kết quả cho thấy tổn thương u tại phế quản gốc phải gây bít tắc hoàn toàn, thâm nhiễm lan lên khí quản.

Hình ảnh nội soi phế quản: U sùi thâm nhiễm gây hẹp 1/3 dưới khí quản
Nhận định đây là trường hợp nghi ngờ cao ung thư đường thở, PGS.TS.BS Hoàng Thị Phượng đánh giá việc chẩn đoán mô bệnh học là yếu tố bắt buộc và không thể trì hoãn.
Trước sự do dự của gia đình do lo ngại nguy cơ chảy máu, chuyên gia đã trực tiếp trao đổi, phân tích rõ ràng về lợi ích - nguy cơ và nhấn mạnh tính cấp thiết của sinh thiết trong thời điểm quyết định. Với sự nhạy bén trong nhận định chuyên môn, cùng thái độ kiên trì, quyết liệt và trách nhiệm, chuyên gia đã thuyết phục thành công gia đình bệnh nhân đồng ý thực hiện thủ thuật.
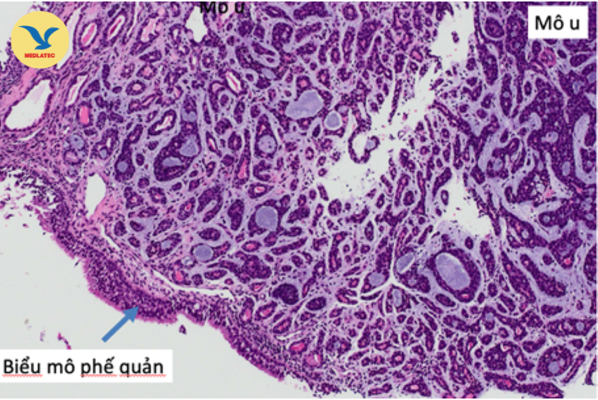
Mẫu bệnh phẩm được chuyển đến Trung tâm Giải phẫu bệnh MEDLATEC để phân tích chuyên sâu. Kết quả mô bệnh học ghi nhận mô u nằm dưới lớp biểu mô phế quản, cấu tạo bởi hai thành phần tế bào (gồm tế bào biểu mô và tế bào cơ biểu mô), sắp xếp theo các dạng cấu trúc đặc trưng như dạng ống và dạng mắt sàng, bên trong có thể chứa các chất nhầy hoặc vùng hyalin hóa. Đặc điểm này không giống các loại ung thư biểu mô hay gặp ở phổi nên được nhuộm hóa mô miễn dịch để phân loại chính xác hơn.

Hình ảnh vi thể xét nghiệm mô bệnh học của bệnh nhân
Kết quả hóa mô miễn dịch cho thấy u gồm hai thành phần: tế bào biểu mô lòng ống dương tính với CK7 và CD117, trong khi tế bào cơ biểu mô dương tính với p63, đồng thời mô u âm tính với TTF1.

Tổng hợp các đặc điểm mô bệnh học và hóa mô miễn dịch, kết luận xác định bệnh nhân mắc ung thư biểu mô dạng tuyến nang (Adenoid cystic carcinoma) - một thể ung thư loại tuyến nước bọt hiếm gặp ở phổi.
Ung thư biểu mô dạng tuyến nang - bệnh lý nguy hiểm và hiếm gặp
Ung thư biểu mô dạng tuyến nang là một thể ung thư hiếm của đường thở, có đặc điểm tiến triển chậm nhưng âm thầm, triệu chứng ban đầu không điển hình, dễ nhầm lẫn với các bệnh lý hô hấp thông thường như viêm phế quản hoặc nhiễm trùng.
Người bệnh thường chỉ biểu hiện bằng ho kéo dài, khò khè, khó thở, do đó dễ bị điều trị theo hướng triệu chứng trong thời gian dài mà bỏ sót nguyên nhân thực sự. Khi khối u phát triển, tình trạng tắc nghẽn đường thở sẽ ngày càng rõ rệt, ảnh hưởng nghiêm trọng đến chức năng hô hấp.
Trường hợp này cho thấy vai trò quan trọng của việc phối hợp chặt chẽ giữa lâm sàng và cận lâm sàng, đặc biệt là các kỹ thuật chuyên sâu như nội soi phế quản và giải phẫu bệnh trong việc phát hiện sớm các tổn thương bất thường.
Tại Hệ thống Y tế MEDLATEC, quy trình chẩn đoán được thực hiện bài bản với đội ngũ chuyên gia giàu kinh nghiệm; Hệ thống trang thiết bị hiện đại; Đáp ứng các kỹ thuật xét nghiệm, chẩn đoán hình ảnh, thăm dò chức năng từ cơ bản đến chuyên sâu, hỗ trợ chẩn đoán chính xác và nhanh chóng. Qua đó, người dân an tâm được phát hiện sớm các bệnh lý phức tạp, hiếm gặp và đưa ra hướng điều trị phù hợp cho người bệnh.
Chuyên gia lưu ý, người dân không nên chủ quan khi xuất hiện các triệu chứng ho kéo dài, khó thở, khò khè, đặc biệt khi đã điều trị nhiều nơi nhưng không khỏi. Việc thăm khám sớm tại các cơ sở y tế uy tín sẽ giúp phát hiện kịp thời và tránh bỏ lỡ những bệnh lý nguy hiểm.
Để giúp người dân chủ động chăm sóc sức khỏe với chi phí tiết kiệm và chất lượng dịch vụ hàng đầu, từ nay đến hết ngày 30/4/2026, Hệ thống Y tế MEDLATEC triển khai chương trình ưu đãi hấp dẫn dành cho các gói kiểm tra sức khỏe tổng quát.
Theo đó, khách hàng dễ dàng lựa chọn gói xét nghiệm tại nhà, hoặc khám tại viện chuyên sâu, cụ thể như sau:
1. Gói kiểm tra sức khỏe tổng quát nam/nữ tại viện có ưu đãi lên tới 828.000 VNĐ/gói.
Các gói khám được thiết kế dựa trên đặc điểm sinh lý và nguy cơ bệnh lý đặc thù của từng giới, đảm bảo tính cá nhân hóa và hiệu quả trong việc tầm soát. Bên cạnh kiểm tra các chỉ số cơ bản, gói khám còn có sự kết hợp toàn diện giữa khám lâm sàng, cận lâm sàng (xét nghiệm, chẩn đoán hình ảnh) với bác sĩ chuyên khoa.
2. Gói kiểm tra sức khỏe tổng quát tại nhà: Miễn phí 04 chỉ số xét nghiệm - chỉ còn 735.000 VNĐ/gói.
Thông tin chi tiết về chương trình ưu đãi hoặc nhu cầu kiểm tra sức khỏe, người dân vui lòng tìm hiểu tại đây, hoặc liên hệ tổng đài 1900 56 56 56.