Cứu sống người phụ nữ bị bệnh lý tim mạch hiếm gặp
Bác sĩ thăm khám cho người bệnh
Người phụ nữ bị vỡ xoang Valsalva vào buồng nhĩ phải - một bệnh lý tim mạch rất hiếm gặp, chỉ chiếm 0.09% dân số, diễn tiến nhanh, đe dọa tính mạng.
Bệnh nhân là người phụ nữ 40 tuổi nhập viện Bệnh viện Quốc tế City (TPHCM) trong tình trạng đau ngực và khó thở xuất hiện đột ngột, kéo dài liên tục trong vòng 3 ngày trước khi đến bệnh viện. Các triệu chứng xảy ra ngay cả khi người bệnh đi lại nhẹ nhàng hoặc thực hiện các hoạt động sinh hoạt tối thiểu, cảm giác đau ngực, khó thở vẫn xuất hiện rõ rệt.
Tình trạng này khiến người bệnh gần như không thể duy trì sinh hoạt bình thường, là dấu hiệu điển hình của suy tim tiến triển nhanh, đòi hỏi phải được thăm khám và đánh giá chuyên sâu ngay lập tức.
Ngay khi tiếp nhận, người bệnh được chỉ định siêu âm tim khẩn, qua đó nhanh chóng phát hiện một tổn thương tim mạch nghiêm trọng: vỡ xoang Valsalva vào buồng nhĩ phải.
BS.CKI. Lê Văn Tuyến - bác sĩ Tim mạch cho biết, xoang Valsalva là một cấu trúc giải phẫu thuộc động mạch chủ, nằm ngay phía trên các lá van động mạch chủ. Khi xoang này bị vỡ, đặc biệt là vỡ thông vào buồng nhĩ phải, sẽ tạo ra luồng thông lớn từ động mạch chủ sang tim phải.
Luồng thông bất thường này khiến lượng máu áp lực cao từ động mạch chủ đổ liên tục vào tim phải, gây quá tải thể tích nghiêm trọng, từ đó nhanh chóng dẫn đến suy tim. Đây chính là nguyên nhân trực tiếp gây ra các triệu chứng đau ngực, khó thở dữ dội, đặc biệt rõ rệt khi người bệnh có hoạt động hoặc gắng sức, dù rất nhẹ.
"Vỡ xoang Valsalva là một bệnh lý rất hiếm gặp, nhưng khi đã vỡ thì có thể diễn tiến đến tình trạng tăng áp phổi, suy tim. Nếu không được phát hiện và xử trí kịp thời, người bệnh có thể rơi vào suy tim nặng trong thời gian ngắn", bác sĩ Tuyến cho hay.

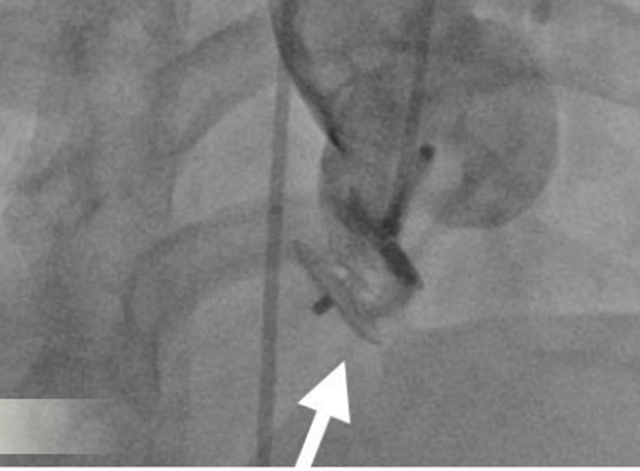
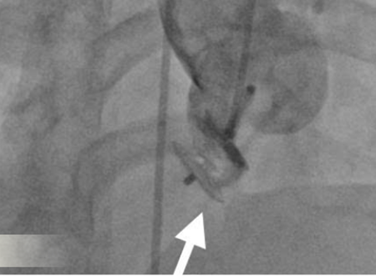
Bác sĩ can thiệp bít kín thành công bằng dù xoang Valsalva
Thông qua siêu âm tim qua thực quản, các bác sĩ đã xác định chính xác vị trí lỗ vỡ của xoang Valsalva, đo được kích thước của lỗ vỡ; cũng như đánh giá khoảng cách từ vị trí vỡ đến lá van động mạch chủ.
Những thông số này có ý nghĩa quyết định, không chỉ giúp đánh giá mức độ nguy hiểm của bệnh lý mà còn là cơ sở để lựa chọn phương pháp điều trị tối ưu, an toàn, tránh ảnh hưởng đến các cấu trúc tim quan trọng như van động mạch chủ và động mạch vành.
Ngay sau can thiệp, người bệnh cải thiện triệu chứng rõ rệt, gần như không còn cảm giác đau ngực và khó thở. Người bệnh có thể đi lại, sinh hoạt bình thường ngay trong ngày, không cần trải qua quá trình hồi sức kéo dài như phẫu thuật tim hở. Sau 1 ngày theo dõi, người bệnh ổn định hoàn toàn và được xuất viện.