Xem thêm thông tin của Báo PNVN trên
Phụ nữ Việt Nam
MỚI NHẤT ĐỘC QUYỀN MULTIMEDIA CHUYÊN ĐỀ

TAG phế quản

Vị trí xoa bóp bàn tay có thể giúp ngăn chặn 7 bệnh ai cũng sợ mắc phải

Vị trí xoa bóp bàn tay có thể giúp ngăn chặn 7 bệnh ai cũng sợ mắc phải

Phòng & chữa bệnh 14:30 11/08/2020

Xoa bóp các ngón tay sẽ giúp cho bạn giảm bớt được một số triệu chứng khó chịu trong cơ thể, đặc biệt là tránh xa được 7 loại bệnh sau đây.

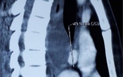
Nuốt nghẹn, khó thở đi khám phát hiện kén phế quản có thể gây xẹp phổi

Nuốt nghẹn, khó thở đi khám phát hiện kén phế quản có thể gây xẹp phổi

Giáo dục 16:35 23/11/2018

Khoảng 3 tháng trước, bệnh nhân có biểu hiện nuốt nghẹn, không sốt, không ho. Gần đây, bệnh nhân khó thở nhẹ khi vận động nên đã đi khám và được kết luận bị kén phế quản.

Bệnh nhi chảy máu phế quản do đỉa dài gần bằng ngón tay sống trong cổ

Bệnh nhi chảy máu phế quản do đỉa dài gần bằng ngón tay sống trong cổ

Giáo dục 15:04 26/10/2018

Con đỉa sống lâu ngày trong hạ thanh môn nên càng ngày càng to. Nó hút máu, khiến cho thành phế quản của bệnh nhân bị viêm loét, chảy máu, đọng nhiều dịch mủ, che bít kín đường thở.

'Giải cứu' trẻ sơ sinh sặc sữa

'Giải cứu' trẻ sơ sinh sặc sữa

Giáo dục 15:52 30/08/2018

Trẻ sơ sinh bị sặc sữa lên mũi thường là do người mẹ cho con bú không đúng tư thế hoặc sử dụng bình sữa núm vú cao su có lỗ thông quá rộng. Để tránh trẻ bị sặc sữa, cha mẹ có thể tham khảo thông tin dưới đây.

Nữ bệnh nhân tử vong khi nội soi phế quản: BV Bạch Mai nói gì?

Nữ bệnh nhân tử vong khi nội soi phế quản: BV Bạch Mai nói gì?

Pháp luật & cuộc sống 18:27 14/06/2018

“Khi nội soi, bác sĩ đã bấm khối u để sinh thiết nhưng máu chảy nhiều dẫn đến suy hô hấp nhanh. Các bác sĩ đã cấp cứu, đặt ống hút, song không thành công. Bệnh nhân đã tử vong dù đã được cấp cứu. Đây là tai biến đã xảy ra trong khi thực hiện sinh thiết”, ông Dương Đức Hùng, Trưởng phòng Kế hoạch tổng hợp (BV Bạch Mai, Hà Nội), cho biết.

Nữ bệnh nhân tử vong bất thường sau khi nội soi phế quản

Nữ bệnh nhân tử vong bất thường sau khi nội soi phế quản

Pháp luật & cuộc sống 17:56 14/06/2018

Sáng ngày 14/6, một phụ nữ được người nhà đưa vào nội soi phế quản ở BV Bạch Mai chừng 2 tiếng, bác sĩ cho biết bệnh nhân rơi vào tình trạng nguy kịch. Dù được cấp cứu, đến 14h35, bệnh nhân tử vong.

Gắp xương cá lóc hình chiếc dù trong phế quản bệnh nhân

Gắp xương cá lóc hình chiếc dù trong phế quản bệnh nhân

Chính trị - Xã hội 12:05 22/06/2017

Các bác sĩ BV Tai Mũi Họng TPHCM vừa nội soi gắp chiếc xương cá lóc có kích thước 0,2 X 0,5 cm, bít hết lòng phế quản của một bệnh nhân 52 tuổi.

Uống nước suối vắt chui vào mũi

Uống nước suối vắt chui vào mũi

Giá cả - thị trường 09:22 25/05/2016

Trong khi đi làm nương, anh Triệu Công V., 22 tuổi ở huyện Yên Sơn, tỉnh Tuyên Quang có rửa mặt và uống nước trong khe suối gần nhà. Sau đó, anh V. thấy khó chịu ở mũi kéo dài, đi bệnh viện được bác sĩ gắp ra con vắt dài 3cm.

Lấy sợi dây đồng dài 4cm trong thực quản

Lấy sợi dây đồng dài 4cm trong thực quản

Phòng & chữa bệnh 08:58 14/03/2016

Sau bữa cơm bệnh nhân được gia đình đưa đi nhập viện với triệu trứng đau ngực. Các bác sĩ đã phẫu thuật và gắp ra sợi kim loại bằng đồng xoắn 2 vòng, chiều dài khoảng 4cm ra khỏi phế quản.