TAG sỏi tuyến nước bọt

Sỏi tuyến nước bọt dưới lưỡi: Nguyên nhân, triệu chứng và cách điều trị
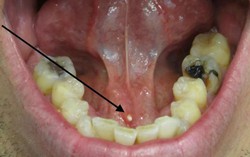
Phòng & chữa bệnh 10:10 18/07/2024Sỏi tuyến nước bọt có thể gây đau và sưng miệng, nghiêm trọng hơn có thể gây nhiễm trùng.
Sỏi tuyến nước bọt có thể gây đau và sưng miệng, nghiêm trọng hơn có thể gây nhiễm trùng.