Bệnh nhân trở về từ Thái Lan nguy kịch do mang vi khuẩn cực nguy hiểm
Bệnh nhân được điều trị tích cực tại Khoa Cấp cứu, Bệnh viện Bệnh nhiệt đới Trung ương
Từ một cơn sốt dai dẳng nơi xứ người, anh L.V.T (35 tuổi, Nghệ An) không ngờ mình đã mang theo tác nhân gây bệnh Whitmore - loại vi khuẩn được mệnh danh là “kẻ giết người thầm lặng”.
Thông tin từ Bệnh viện Bệnh Nhiệt đới Trung ương cho biết, bệnh nhân T. sinh sống và làm việc nhiều năm tại Thái Lan, khu vực có tỉ lệ lưu hành bệnh Whitmore cao. Vốn có tiền sử đái tháo đường mới phát hiện, anh bắt đầu xuất hiện sốt cao liên tục và kích thích nhiều khoảng năm tuần trước khi trở về Việt Nam. Tình trạng suy hô hấp buộc anh phải nhập cấp cứu tại một cơ sở y tế địa phương.
Tại đây, bệnh nhân được đặt nội khí quản thở máy. Kết quả cấy máu xác định anh nhiễm Burkholderia pseudomallei – vi khuẩn gây bệnh Whitmore. Dù đã được điều trị bước đầu, bệnh vẫn diễn tiến nặng. Gia đình xin đưa anh về Việt Nam để tiếp tục cứu chữa, nhưng chỉ sau vài ngày nhập viện trong nước, anh rơi vào tình trạng nguy kịch.

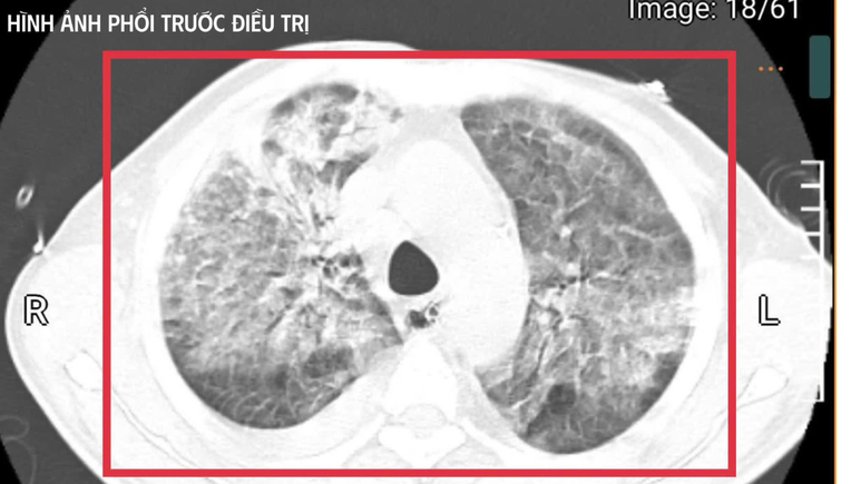
Hình chụp phổi của bệnh nhân trước khi điều trị
Khi tiếp nhận bệnh nhân tại Khoa Cấp cứu, Bệnh viện Bệnh Nhiệt đới Trung ương, ThS.BSNT Nguyễn Kim Anh mô tả đó là "khoảnh khắc rất căng thẳng". Anh T. hôn mê sâu, mất phản xạ đường thở và phụ thuộc hoàn toàn vào máy thở. Nhiệt độ cơ thể duy trì 41–42°C, run cơ toàn thân - dấu hiệu gợi ý tăng thân nhiệt ác tính trên nền nhiễm khuẩn huyết tối cấp. Xét nghiệm cho thấy hàng loạt chỉ số suy sụp như men gan tăng cao, rối loạn đông máu, biểu hiện suy gan, suy thận cấp tiến triển... Nhiều dấu hiệu phản ánh mức độ nhiễm trùng - nhiễm độc khốc liệt. Cùng với đó là bệnh nền đái tháo đường chưa kiểm soát và viêm gan C mạn khiến cơ thể càng suy kiệt.
Theo BS Kim Anh, đây là một trong những thể tối cấp của Whitmore, có thể gây tử vong trong thời gian rất ngắn nếu không hồi sức tích cực ngay lập tức.
Ngay lập tức, ê-kíp hồi sức phải triển khai cùng lúc nhiều biện pháp: an thần sâu để kiểm soát kích thích và bảo vệ não; hạ thân nhiệt chủ động nhằm hạn chế tăng thân nhiệt ác tính; thiết lập đường truyền trung tâm; theo dõi huyết động liên tục; điều chỉnh toan - điện giải; phối hợp kháng sinh đúng phác đồ điều trị. Bệnh nhân cũng được lọc máu liên tục nhiều ngày để hỗ trợ chức năng thận, loại bỏ độc chất và giảm gánh nặng viêm.

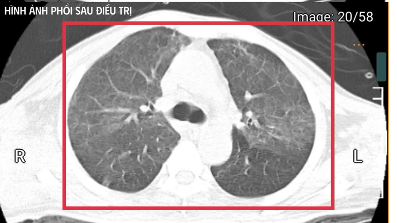
Hình chụp phổi của bệnh nhân sau điều trị
Sau khoảng ba ngày hồi sức cao độ, những tín hiệu sống đầu tiên dần trở lại: cắt sốt, chỉ số viêm giảm dần, huyết áp ổn định hơn, nhu cầu vận mạch giảm, chức năng gan thận cải thiện, tri giác phục hồi. Anh T. dần cai được thở máy qua mở khí quản, tập hô hấp tự nhiên và phục hồi vận động.
Trong ba tuần điều trị tích cực tại Khoa Cấp cứu, các bác sĩ tối ưu kháng sinh, kiểm soát đường huyết, hỗ trợ dinh dưỡng và phục hồi chức năng sớm. Bệnh nhân tiến triển từng ngày và tỉnh táo hoàn toàn. Anh đủ điều kiện xuất viện và tiếp tục theo dõi ngoại trú.
BS Kim Anh nhấn mạnh: Whitmore là bệnh truyền nhiễm nguy hiểm, có thể gây suy đa tạng và tử vong nhanh, đặc biệt ở người có bệnh nền như đái tháo đường, bệnh gan mạn hoặc làm việc trong môi trường đất, nước ẩm.
Bệnh có thể khởi phát kín đáo với các triệu chứng mơ hồ: sốt kéo dài, đau đầu, mệt mỏi, đau cơ, ho, sụt cân hoặc rối loạn tri giác - rất dễ bị bỏ sót. Người dân trong vùng dịch tễ hoặc có yếu tố nguy cơ cần đi khám khi có sốt kéo dài không rõ nguyên nhân, tuân thủ đúng phác đồ kháng sinh kéo dài để tránh tái phát.