Nữ bệnh nhân nhiễm ấu trùng sán dây lợn, nang sán vôi hóa lan khắp cơ thể

Ấu trùng sán xâm nhập vào cơ thể có thể gây động kinh, rối loạn tâm thần – vận động, đau đầu, giảm thị lực
Khoa Hồi sức Truyền nhiễm - Viện Lâm sàng các bệnh Truyền nhiễm (Bệnh viện Trung ương Quân đội 108) vừa tiếp nhận một trường hợp người bệnh nữ, sinh năm 1948, được chẩn đoán theo dõi nhiễm ấu trùng sán dây lợn.
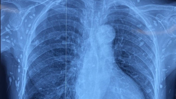
Bệnh nhân được chuyển lên từ tuyến dưới trong tình trạng rối loạn ý thức, đe dọa suy hô hấp. Kết quả chụp cắt lớp vi tính sọ não và X-quang ngực cho thấy nhiều nốt cản quang rải rác trong nhu mô não và dưới da vùng ngực - bụng. Một số u cục có thể sờ thấy dưới da vùng ngực và cánh tay.
Mặc dù xét nghiệm kháng thể IgM với sán dây lợn âm tính, song các hình ảnh tổn thương trên phim X-quang gợi ý bệnh nhân từng nhiễm ấu trùng sán dây lợn, các nang sán đã vôi hóa và tồn tại lâu dài trong cơ thể. Sau quá trình điều trị theo phác đồ, tình trạng người bệnh ổn định, được cho ra viện và tiếp tục theo dõi tại tuyến dưới.

Nhiều nốt cản quang dưới da thành ngực-bụng và chi trên của bệnh nhân
Theo các bác sĩ, sán dây lợn (Taenia solium) là một loại ký sinh trùng nguy hiểm, có thể sống nhiều năm trong ruột người với chiều dài từ 2–7 mét, gồm hàng nghìn đốt sán nối liền nhau. Trứng sán được thải ra ngoài theo phân và có thể tồn tại trong môi trường hàng tháng. Khi lợn ăn phải trứng sán, chúng sẽ phát triển trong ruột, xâm nhập vào máu rồi di chuyển đến cơ, tạo thành các nang sán (hay còn gọi là "hạt gạo") - dễ thấy bằng mắt thường trong thịt lợn bị nhiễm.
Người có thể bị nhiễm bệnh khi ăn thịt lợn gạo chưa nấu chín hoặc rau sống dính trứng sán. Đặc biệt, khi ấu trùng sán xâm nhập vào não hoặc mắt, bệnh nhân có thể gặp các biến chứng nghiêm trọng như động kinh, rối loạn tâm thần - vận động, đau đầu, giảm thị lực... Một số nang sán có thể tự thoái hóa hoặc bị vôi hóa, tạo nên hình ảnh cản quang rõ nét trên phim X-quang - như trong trường hợp bệnh nhân nói trên.
Các chuyên gia khuyến cáo, phòng bệnh sán dây lợn chủ yếu bằng cách ăn chín, uống chín, rửa tay sạch sẽ trước khi ăn, đặc biệt lưu ý kiểm soát vệ sinh thực phẩm. Ấu trùng sán lợn sẽ chết khi được đun sôi trong 2 phút. Những người có yếu tố nguy cơ hoặc biểu hiện nghi ngờ cần đi khám sớm để được chẩn đoán và điều trị kịp thời.
Ngoài ra, người đang mang sán trưởng thành trong ruột (phát hiện qua soi phân) cần được điều trị triệt để và quản lý chất thải đúng cách nhằm ngăn chặn nguồn lây lan trong cộng đồng.