TAG thai trong thai

Phẫu thuật thành công ca "thai trong thai” hiếm gặp
Phòng & chữa bệnh 12:17 23/02/2021Ngày 23/2, Bệnh viện Nhi đồng 2 (TPHCM) cho biết, các bác sĩ phẫu thuật ung bướu bệnh viện vừa phẫu thuật thành công cho bé gái 1 ngày tuổi có khối u ổ bụng to gây nguy hiểm cực hiếm gặp.

Bé 13 ngày tuổi được mổ lấy thai thành công
Phòng & chữa bệnh 13:29 10/11/2020Trong quá trình theo dõi thai kỳ của mẹ, các bác sĩ siêu âm đã phát hiện có một khối u to trong ổ bụng của bé. Đây là tật "thai trong thai" với tỉ lệ mắc bệnh 1/500.000 trường hợp sinh.

Bụng bé trai 4 tháng tuổi phình to vì hiện tượng ‘thai trong thai’
Phòng & chữa bệnh 19:29 08/01/2019Các bác sĩ Bệnh viện Nhi đồng 2 (TPHCM) vừa phẫu thuật lấy khối u thai hiếm gặp trong bụng bé trai 4 tháng tuổi.

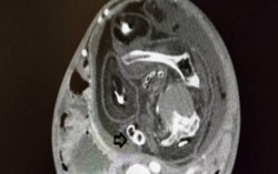
Bào thai có tóc và dương vật trong bụng thiếu niên 15 tuổi
Chính trị - Xã hội 14:01 05/10/2017Bụng đau khó chịu và đầy hơi, thiếu niên Malaysia 15 tuổi bị nghi ngờ mắc ung thư nhưng cuối cùng các bác sĩ đã phát hiện ra bào thai song sinh có tóc và dương vật trong bụng của cậu.