Phát hiện ung thư phổi giai đoạn sớm nhờ tổn thương “kính mờ” được AI cảnh báo
Bệnh nhân được phát hiện ung thư phổi giai đoạn rất sớm nhờ hệ thống phân tích hình ảnh bằng trí tuệ nhân tạo (AI)
Trong quá trình điều trị sỏi thận, một bệnh nhân 69 tuổi tại Bệnh viện Bạch Mai bất ngờ được phát hiện ung thư phổi giai đoạn rất sớm nhờ hệ thống phân tích hình ảnh bằng trí tuệ nhân tạo (AI).
Ngày 17/11, Bệnh viện Bạch Mai cho biết khoa Phẫu thuật Tiết niệu vừa tiếp nhận và điều trị cho một bệnh nhân 69 tuổi nhập viện vì đau thắt lưng phải, được chẩn đoán sỏi thận. Bệnh nhân được chỉ định tán sỏi qua da.
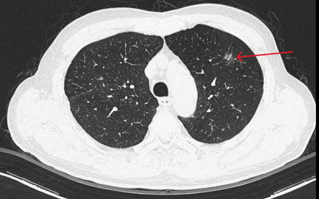
Tuy nhiên, điều đáng chú ý xảy ra khi bác sĩ tiến hành chụp CT để đánh giá tổn thương thận: hình ảnh thu được cho thấy một nốt kính mờ dạng tua gai ở thùy trên phổi trái - dấu hiệu gợi ý tổn thương ác tính.
Sau đó, bệnh nhân được chuyển sang Trung tâm Y học hạt nhân và Ung bướu để tiếp tục đánh giá. Tại thời điểm nhập viện, bệnh nhân tỉnh táo, tiếp xúc tốt, thể trạng trung bình, không có bất thường đáng kể về lâm sàng. Bệnh nhân có tiền sử tăng huyết áp đang điều trị, từng bị tai biến mạch máu não năm 2022 nhưng không để lại di chứng và có thói quen hút thuốc lá với mức 20 bao/năm.
Các xét nghiệm máu, sinh hóa và đông máu đều trong giới hạn bình thường. Marker Cyfra 21-1 tăng nhẹ - một trong những chỉ dấu liên quan đến ung thư phổi. Trong khi đó, CT ngực ghi nhận tổn thương kính mờ bờ tua gai, còn CT bụng phát hiện giãn đài bể thận và sỏi niệu quản.
Điểm đặc biệt là hệ thống AI phân tích hình ảnh của bệnh viện đã xác định tổn thương phổi của bệnh nhân có xác suất ác tính lên tới 97%. Kết quả này khiến hội đồng chuyên môn phải xem xét can thiệp ngay thay vì tiếp tục theo dõi. Sau hội chẩn, bệnh viện quyết định chỉ định phẫu thuật nội soi cắt thùy trên phổi trái và nạo vét hạch.

Hình ảnh vài đám tổn thương dạng kính mờ bờ tua gai ở thùy trên phổi trái
Ca phẫu thuật diễn ra thuận lợi. Kết quả giải phẫu bệnh cho thấy đây là ung thư biểu mô tuyến thùy trên phổi trái giai đoạn pT1aN0M0 - thuộc giai đoạn IA, tức giai đoạn rất sớm của ung thư phổi không tế bào nhỏ. Bên cạnh đó, mô bệnh còn phát hiện tổn thương lao phổi kèm theo, trong khi các hạch nhóm 5, 6 và 10 đều là hạch viêm. Xét nghiệm gene của bệnh nhân cho thấy không có đột biến EGFR hoặc ALK - những gene thường được xem xét để chỉ định điều trị nhắm trúng đích.
Với chẩn đoán ung thư phổi giai đoạn sớm kèm lao phổi, bệnh nhân được chuyển sang điều trị theo dõi định kỳ và phác đồ điều trị lao theo quy định. Đây được đánh giá là một trường hợp may mắn, bởi ung thư phổi ở giai đoạn IA có cơ hội sống thêm 5 năm lên tới 70% nếu được phẫu thuật triệt căn, cao hơn rất nhiều so với dưới 5% khi phát hiện ở giai đoạn IV.
Các chuyên gia nhận định, đối với ung thư phổi không tế bào nhỏ giai đoạn IA, phẫu thuật vẫn là phương pháp điều trị tiêu chuẩn với khả năng điều trị khỏi cao. Sau mổ, bệnh nhân cần được tái khám định kỳ 6 tháng/lần trong hai năm đầu, bao gồm thăm khám lâm sàng, xét nghiệm và chụp CT có tiêm thuốc cản quang nhằm phát hiện sớm nguy cơ tái phát.
Dữ liệu tổng hợp cho thấy AI đạt độ nhạy và độ đặc hiệu đều khoảng 0,87; tỉ lệ bỏ sót 13% và tỉ lệ chẩn đoán sai 12%. AI cho thấy tiềm năng lớn trong việc hỗ trợ đánh giá các nốt phổi khó, giúp bác sĩ rút ngắn thời gian đọc phim và tăng độ chính xác, đặc biệt khi phát hiện tổn thương kính mờ hoặc nốt nhỏ.
Thống kê từ GLOBOCAN 2022 cho thấy, ung thư phổi tiếp tục là loại ung thư gây tử vong hàng đầu thế giới. Tại Việt Nam, ung thư phổi đứng thứ ba về tỉ lệ mắc và thứ hai về tỉ lệ tử vong. Một trong những thách thức lớn nhất là có tới 85% bệnh nhân được phát hiện ở giai đoạn muộn - thời điểm mà cơ hội điều trị khỏi đã rất thấp. Vì vậy, sàng lọc bằng CT ngực liều thấp kết hợp trí tuệ nhân tạo được xem là hướng đi quan trọng giúp gia tăng khả năng phát hiện sớm.