Bệnh nhân được cứu sống sau 3 tuần “bỏ đói”, sụt 14 kg để chữa ung thư
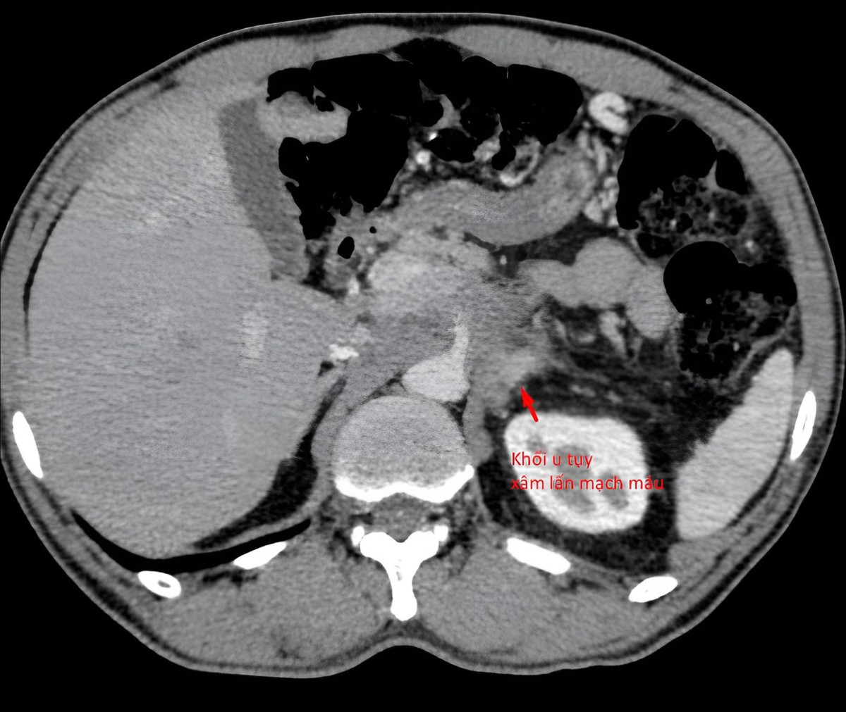
Bệnh nhân 64 tuổi được phát hiện có khối u tụy xâm lấn mạch máu
Bệnh nhân 64 tuổi được phát hiện có khối u tụy xâm lấn mạch máu. Khi chưa có kết quả sinh thiết, bệnh nhân gần như không thể tiếp cận các phác đồ điều trị chuẩn mực.
Gia đình cho biết, khi phát hiện bệnh, ông đã đi "cầu cúng" ở nhiều nơi, đồng thời áp dụng phương pháp hoàn toàn không có cơ sở khoa học là tuyệt thực trong suốt 3 tuần với hy vọng "bỏ đói" khối u. Hậu quả là thể trạng bệnh nhân suy kiệt nghiêm trọng, sụt tới 14kg, sức khỏe giảm sút rõ rệt, trong khi khối u không có dấu hiệu thu nhỏ.
Khi được chuyển đến Trung tâm Chẩn đoán hình ảnh và Điện quang can thiệp Phương Đông, và qua phân tích chi tiết hình ảnh chụp cắt lớp và cộng hưởng từ, ê-kíp chuyên môn nhận định rằng tất cả các hướng tiếp cận sinh thiết thường quy đều không khả thi do nguy cơ tổn thương mạch máu lớn và các cơ quan lân cận.
Trong quá trình hội chẩn, các bác sĩ xác định chỉ còn duy nhất một "khe cửa hẹp" để tiếp cận khối u: từ phía sau, xuyên qua khoảng giữa cột sống và thận. Đây là đường vào rất khó, đòi hỏi kỹ thuật can thiệp tinh vi, độ chính xác cao và tiềm ẩn nhiều rủi ro nếu không được kiểm soát chặt chẽ.
Trước thực tế nếu không thực hiện sinh thiết thì bệnh nhân hầu như không còn cơ hội điều trị, ê-kíp đã quyết định tiến hành can thiệp. Dưới sự hỗ trợ của hệ thống chẩn đoán hình ảnh công nghệ cao, mũi kim sinh thiết được dẫn đường chính xác qua khe an toàn duy nhất, tiếp cận khối u và lấy được mẫu mô thành công mà không xảy ra biến chứng.

Khối u tụy xâm lấn thành mạch máu của bệnh nhân.
Các bác sĩ cho biết, dù bệnh đã ở giai đoạn muộn, việc xác định được mô bệnh học có ý nghĩa đặc biệt quan trọng, giúp mở ra khả năng xây dựng phác đồ điều trị phù hợp, thay vì buông xuôi trong vô vọng. Thành công của ca can thiệp cho thấy vai trò ngày càng lớn của các kỹ thuật chẩn đoán hình ảnh và điện quang can thiệp trong xử trí những trường hợp ung thư phức tạp, khó tiếp cận bằng phương pháp truyền thống.
Từ trường hợp này, các chuyên gia y tế khuyến cáo người bệnh và gia đình cần hết sức thận trọng trước các phương pháp điều trị truyền miệng, thiếu cơ sở khoa học như tuyệt thực để chữa ung thư. Việc nhịn ăn kéo dài không những không tiêu diệt được tế bào ung thư mà còn làm suy giảm nghiêm trọng thể trạng, khiến người bệnh mất cơ hội tiếp cận điều trị chính thống.
Theo các bác sĩ, điều trị ung thư cần tuân thủ phác đồ được xây dựng trên bằng chứng khoa học, kết hợp giữa can thiệp y khoa, dinh dưỡng hợp lý và chăm sóc toàn diện. Việc phát hiện sớm, chẩn đoán chính xác và tiếp cận điều trị đúng thời điểm là những yếu tố then chốt giúp cải thiện tiên lượng và chất lượng sống cho người bệnh.