Cụ bà 76 tuổi bụng to bất thường, đi khám phát hiện u hiếm gặp
Ekip phẫu thuật của Bệnh viện Ung Bướu Hà Nội
Bệnh viện Ung Bướu Hà Nội vừa phẫu thuật thành công, loại bỏ khối sarcoma mỡ sau phúc mạc nặng gần 4kg cho bệnh nhân nữ 76 tuổi, giúp người bệnh thoát khỏi nguy cơ biến chứng đe dọa tính mạng.
Bệnh nhân N.T.T., 76 tuổi, được gia đình đưa đến bệnh viện trong tình trạng bụng to nhanh, căng tức, biến dạng vùng hạ sườn – mạn sườn phải trong khoảng 3 tháng gần đây. Bệnh nhân có tiền sử viêm phổi mạn tính, thể trạng trung bình, không ghi nhận tiền sử ung thư. Khám lâm sàng cho thấy khối chắc, kích thước lớn, giới hạn tương đối rõ, di động hạn chế vùng hông – thắt lưng phải.
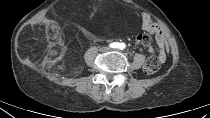
Kết quả chẩn đoán hình ảnh CT ổ bụng có tiêm thuốc cản quang cho thấy khối choán chỗ sau phúc mạc, kích thước khoảng 28 × 15 cm, cấu trúc hỗn hợp tổ chức mỡ – đặc, đè đẩy các tạng trong ổ bụng nhưng chưa xâm lấn tạng lân cận. Bệnh nhân được chẩn đoán sarcoma mỡ sau phúc mạc – một dạng u ác tính mô mềm hiếm gặp.
Các bác sĩ đánh giá đây là ca bệnh nguy cơ cao do bệnh nhân lớn tuổi, có bệnh lý hô hấp nền và khối u kích thước khổng lồ, thâm nhiễm cơ thành bụng. Sau khi hội chẩn đa chuyên khoa, bệnh viện quyết định tiến hành phẫu thuật cắt bỏ triệt để khối u.

Hình ảnh phim chụp CT ổ bụng của bệnh nhân
Ê-kíp phẫu thuật mở bụng theo đường giữa trên – dưới rốn, mở rộng sang phải, với vết mổ dài khoảng 30cm. Trong quá trình mổ, phát hiện khối u màu vàng nhạt, thâm nhiễm cơ thắt lưng phải, len lỏi giữa các tạng và cân cơ thành bụng, khiến việc bóc tách gặp nhiều khó khăn. Các phẫu thuật viên phải làm việc tỉ mỉ, kiểm soát chặt chẽ mạch máu, tránh tổn thương tạng lân cận.
Sau nhiều giờ, toàn bộ khối u được lấy ra nguyên vẹn, nặng gần 4kg, kích thước 28 × 15 cm. Lượng máu mất trong mổ dưới 300ml, bệnh nhân không cần truyền máu.
Sau phẫu thuật, bệnh nhân được theo dõi hồi sức tích cực. Huyết động ổn định, không ghi nhận chảy máu hay nhiễm trùng vết mổ. Kết quả mô bệnh học xác định: sarcoma mỡ mất biệt hóa, diện cắt âm tính tế bào u (R0) – nghĩa là u đã được loại bỏ triệt để. Sau 7 ngày, bệnh nhân hồi phục tốt và được xuất viện.
Theo các bác sĩ, sarcoma mỡ sau phúc mạc (Retroperitoneal Liposarcoma – RPLS) là khối u ác tính mô mềm hiếm, chiếm khoảng 15 – 20% sarcoma vùng sau phúc mạc. Bệnh tiến triển âm thầm, thường chỉ được phát hiện khi khối u phát triển lớn, gây chèn ép các cơ quan nội tạng. Phẫu thuật cắt bỏ triệt để với diện cắt âm tính (R0) là phương pháp điều trị chuẩn và quyết định tiên lượng sống.
Tuy nhiên, bệnh có tỷ lệ tái phát tại chỗ cao (30 – 50%), đặc biệt trong 2 – 3 năm đầu sau mổ do đặc tính lan tỏa của mô u. Người bệnh cần tái khám định kỳ 6 – 12 tháng/lần bằng siêu âm hoặc chụp CT để phát hiện sớm nguy cơ tái phát.
BSCKII Lê Văn Thành, Trưởng khoa Ngoại Tổng hợp – Phó Giám đốc Bệnh viện Ung Bướu Hà Nội, cho biết: "Sarcoma mỡ sau phúc mạc là căn bệnh tiến triển âm thầm, ít triệu chứng ở giai đoạn đầu. Vì vậy, người dân – đặc biệt là người cao tuổi – nên khám sức khỏe định kỳ để phát hiện sớm các bất thường trong ổ bụng. Nếu thấy bụng to bất thường, đau âm ỉ vùng thắt lưng hoặc sờ thấy khối cứng di động trong bụng, cần đến cơ sở y tế chuyên khoa để kiểm tra, chẩn đoán và điều trị kịp thời".