TAG kiến ba khoang

Hà Nội: Kiến ba khoang tấn công cư dân ở chung cư cao tầng
Phòng & chữa bệnh 14:04 28/10/2024Những ngày qua, cư dân sống ở các khu chung cư cao tầng trên địa bàn Hà Nội phải đối diện với tình trạng kiến ba khoang xâm nhập tấn công, nhiều người nhiễm độc gây bỏng rát, phồng rộp da.

TPHCM: Nhiều người bị viêm da tiếp xúc do kiến ba khoang
Phòng & chữa bệnh 14:19 03/07/2024Người dân khi tiếp xúc với dịch tiết do kiến ba khoang tiết ra sẽ gây ra tình trạng kích ứng da, xuất hiện những vết mụn nước, rộp trên bề mặt da.

10 tình trạng gây phát ban và sẩn ngứa da mùa hè ở trẻ
Phòng & chữa bệnh 17:10 12/07/2023Sẩn ngứa da khiến trẻ khó chịu và đôi khi việc gãi liên tục có thể khiến da trầy xước và nhiễm trùng.

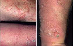
Kiến ba khoang vào mùa sinh sản, nhận biết nhanh vết cắn để tránh tổn thương da nghiêm trọng
Phòng & chữa bệnh 15:00 19/10/2022Viêm da do tiếp xúc với kiến ba khoang nếu không được chẩn đoán đúng kèm theo việc người bệnh chà xát mạnh hay chữa theo dân gian có thể dẫn tới nhiều biến chứng.

Chuyên gia chỉ ra sai lầm khi tự điều trị viêm da tiếp xúc do kiến ba khoang
Phòng & chữa bệnh 07:20 18/10/2022Khi tiếp xúc với kiến ba khoang, nhiều trường hợp đã tự điều trị hoặc áp dụng các bài thuốc dân gian khiến vùng tổn thương nặng hơn.

Kiến ba khoang cắn nhưng bị chẩn đoán nhầm là zona thần kinh
Phòng & chữa bệnh 12:35 24/09/2021Người phụ nữ bị kiến ba khoang cắn nhưng được nhân viên nhà thuốc chẩn đoán là bị zona thần kinh và cho thuốc bôi khiến tình trạng diễn tiến nặng hơn, da phồng rộp nhiều kèm đau rát.

Chuyên gia hướng dẫn cách phân biệt biểu hiện của zona thần kinh với kiến ba khoang
Phòng & chữa bệnh 22:08 08/10/2020Nhiều bệnh nhân nhầm lẫn biểu hiện do kiến ba khoang với zona thần kinh nên sử dụng các loại lá để đắp lên vết thương. Vì vậy, tổn thương của bệnh nhân không giảm mà tăng nặng hơn và lan ra các vị trí khác.

Mỗi ngày gần 100 bệnh nhân đến khám do tiếp xúc với kiến ba khoang
Phòng & chữa bệnh 21:57 04/10/2020Khoảng 2 tuần trở lại đây, số ca đến khám tăng đột biến, thậm chí có những ngày, BV tiếp nhận gần 100 người bệnh đến khám với các triệu chứng như đau, bỏng rát các vùng da sau khi tiếp xúc với kiến ba khoang.

Kiến ba khoang "tấn công" Hà Nội
Phòng & chữa bệnh 17:09 03/10/2020Khoảng 2 tuần gần đây, số bệnh nhân nhập viện do kiến ba khoang đốt tăng cao. Trong khi đó, các chuyên gia cho biết, kiến khoang thường xuất hiện nhiều từ tháng 9 đến hết tháng 11 hàng năm.

3 biến chứng khi bị kiến ba khoang đốt: bỏng, lở loét thậm chí là mù tạm thời
Phòng & chữa bệnh 18:41 18/07/2020Biến chứng khi bị kiến ba khoang đốt xảy ra khi người bị đốt không xử lý đúng cách và điều trị không theo chỉ dẫn của bác sĩ dẫn tới mưng mủ, lở loét và thậm chí là hoại tử.