Thuyên tắc phổi nặng do hút thuốc lá suốt nhiều năm

Mỗi năm thuốc lá cướp đi sinh mạng gần 8 triệu người trên thế giới
Người đàn ông 51 tuổi đột ngột chóng mặt, nặng ngực rồi ngất xỉu khoảng 2 phút khi đang đi làm đồng. Các bác sĩ xác định bệnh nhân bị thuyên tắc phổi liên quan hút thuốc lá lâu năm.
Thông tin từ Bệnh viện Nhân dân 115 (TPHCM) cho biết, đơn vị vừa tiếp nhận và điều trị thành công một trường hợp bệnh nhân nam 51 tuổi thuyên tắc phổi nặng biến chứng sốc, đe dọa tính mạng.
Theo đó, khi đang đi làm đồng thì người đàn ông đột ngột chóng mặt, nặng ngực sau đó ngất khoảng 2 phút. Khi tỉnh lại thì được người nhà phát hiện đưa nhập viện tại địa phương ghi nhận tình trạng tụt huyết áp nghi ngờ do nhồi máu cơ tim cấp biến chứng sốc tim.
Sau khi được xử trí ban đầu người bệnh tiếp tục được chuyển đến Bệnh viện Nhân dân 115. Tại đây bác sĩ trực cấp cứu tiếp nhận người bệnh trong tình trạng khó thở, huyết áp khó đo, mạch nhanh. Sau khi nhận định lại người bệnh khi điện tim và siêu âm tim cho thấy dấu hiệu quá tải áp lực thất phải cấp tính thường gặp trong thuyên tắc phổi cấp nặng.
Người bệnh được nhanh chóng sử dụng thuốc vận mạch nhằm ổn định huyết áp và đưa đi chụp cắt lớp vi tính (CT) mạch máu phổi với kết quả: huyết khối lớn bít tắc động mạch phổi hai bên. Với sự phối hợp của bác sĩ khoa Hồi sức tích cực, người bệnh được xác định chẩn đoán sốc tắc nghẽn do thuyên tắc phổi nguy cơ cao.
Người bệnh được sử dụng thuốc tiêu sợi huyết nhằm làm tan cục máu đông đang bít tắc mạch máu phổi và chuyển khoa Hồi sức tích cực tiếp tục điều trị và theo dõi sát.
Những ngày tiếp theo người bệnh hồi phục tốt khi huyết áp cải thiện, hết khỏ thở, siêu âm tim chức năng tim phải cải thiện, được cho xuất viện sau 1 tuần điều trị và có thể trở lại sinh hoạt bình thường.

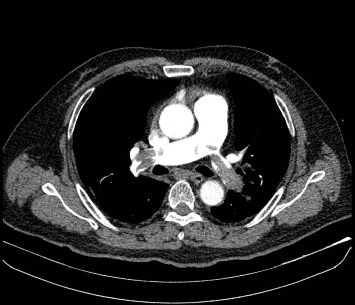
Hình ảnh chụp cắt lớp vi tính mạch máu phổi cho thấy huyết khối lớn bít tắc động mạch phổi hai bên
BS. Đỗ Công Tuấn, Khoa Cấp cứu - Bệnh viện Nhân dân 115 cho biết, nguyên nhân phổ biến nhất gây thuyên tắc phổi là do cục máu đông hình thành từ tĩnh mạch sâu chi dưới di chuyển đến phổi. Ở người bệnh này siêu âm mạch máu chi dưới ghi nhận có huyết khối tĩnh mạch đùi chung trái và tĩnh mạch khoeo trái.
Khai thác tiền sử không ghi nhận tiền căn bệnh lý nhưng có hút thuốc lá khoảng 1 gói mỗi ngày. Hút thuốc lá không phải nguyên nhân trực tiếp gây thuyên tắc phổi, tuy nhiên làm tăng nguy cơ huyết khối tĩnh mạch sâu chi dưới và có thể dẫn đến biến chứng nguy hiểm như thuyên tắc phổi, ngoài ra hút thuốc lá còn gây rất nhiều bệnh tim mạch và hô hấp khác.
Khi xuất viện, người bệnh được các bác sĩ yêu cầu ngưng thuốc lá và tuân thủ sử dụng thuốc theo chỉ định.
Theo Tổ chức Y tế Thế giới (WHO), mỗi năm thuốc lá cướp đi sinh mạng gần 8 triệu người trên thế giới. Ở Việt Nam, các bệnh liên quan đến thuốc lá là nguyên nhân gây tử vong hàng đầu, khoảng 40.000 ca tử vong mỗi năm. Nếu không có can thiệp khẩn cấp, ước tính số tử vong do các bệnh liên quan đến thuốc lá mỗi năm sẽ tăng lên thành 70.000 người vào năm 2030.
Theo các chuyên gia, hút thuốc là nguyên nhân hàng đầu gây ra ung thư phổi tại Việt Nam. Hút thuốc thụ động là hít phải (hay còn gọi là phơi nhiễm) khói thuốc từ đầu điếu đang cháy hoặc khói thuốc do người hút thuốc phả ra. Khói thuốc thụ động chứa hàng nghìn các hóa chất độc hại. Người không hút thuốc nhưng thường xuyên sống, làm việc trong môi trường có khói thuốc lá cũng mắc các bệnh như người hút thuốc.
Riêng với phụ nữ mang thai, tác hại của thuốc lá càng trở nên nghiêm trọng. Nhiều nghiên cứu ghi nhận việc hút thuốc chủ động hoặc thụ động làm giảm khả năng thụ thai, gây rối loạn rụng trứng, tăng nguy cơ vô sinh. Trong thai kỳ, khói thuốc làm tăng khả năng sảy thai, thai chết lưu, sinh non, trẻ sinh ra nhẹ cân hoặc kém phát triển. Nguy cơ đột tử ở trẻ sơ sinh cũng tăng gấp đôi nếu người mẹ hút thuốc trong thai kỳ hoặc em bé tiếp xúc với khói thuốc sau khi sinh.